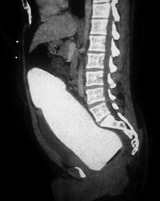
В одну из японских клиник поступил мужчина с необычной проблемой. В его прямой кишке застрял большой резиновый предмет.
Никто не предполагал, что ситуация закончится так удачно. Врачи и сам пациент были поражены, когда история пошла неожиданным образом. Ранее мужчина часто жаловался на резкие боли в пояснице. Оказалось, что использование этого предмета вызвало необычный эффект: он сместил крестец и устранил источник боли.
После извлечения предмета боли прошли, и пациент почувствовал значительное улучшение.
Хотя мы не можем понять все медицинские детали, суть случая ясна — иногда решение проблемы находится там, где его совсем не ждёшь.
Никто не предполагал, что ситуация закончится так удачно. Врачи и сам пациент были поражены, когда история пошла неожиданным образом. Ранее мужчина часто жаловался на резкие боли в пояснице. Оказалось, что использование этого предмета вызвало необычный эффект: он сместил крестец и устранил источник боли.
После извлечения предмета боли прошли, и пациент почувствовал значительное улучшение.
Хотя мы не можем понять все медицинские детали, суть случая ясна — иногда решение проблемы находится там, где его совсем не ждёшь.

Следующая запись: Ну и приколы у них тут
Лучшие публикации